Người đàn ông 29 tuổi đau bụng dữ dội, bác sĩ sốc nặng khi phát hiện "bí mật" đáng sợ

Người đàn ông 29 tuổi đã đến phòng cấp cứu và phàn nàn rằng bị đau bụng dữ dội cả ngày. Sau khi thăm khám, các bác sĩ đã phát hiện ra "thủ phạm" gây ra tình trạng trên.

Một người đàn ông đã ngủ quên với chiếc tăm trong miệng và tỉnh dậy trong đau đớn vào ngày hôm sau vì vô tình nuốt phải nó.

Người đàn ông 29 tuổi đã đến phòng cấp cứu và phàn nàn rằng bị đau bụng dữ dội cả ngày, nhưng không chắc nguyên nhân gây ra vấn đề là gì.

Anh cho biết mình bị đau ở vùng bụng dưới, cơn đau trở nên tồi tệ hơn sau khi ăn bữa tối có thịt gà.

Người đàn ông 29 tuổi đau bụng dữ dội, bác sĩ sốc nặng khi phát hiện "bí mật" đáng sợ- Ảnh 1.

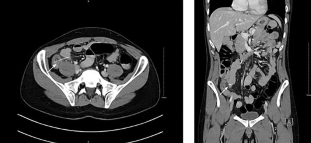
Các bác sĩ đã bối rối cho đến khi chụp CT phát hiện ra dị vật nhỏ có kích thước 3,7 cm, mà họ cho rằng đó là một chiếc xương vô tình nuốt phải từ bữa tối với thịt gà.

Họ đã yêu cầu phẫu thuật nội soi khẩn cấp để tìm hiểu thêm và phát hiện ra nguyên nhân: một chiếc tăm gỗ đã đâm thủng ruột, theo như Need To Know đưa tin .

Người đàn ông 29 tuổi đau bụng dữ dội, bác sĩ sốc nặng khi phát hiện "bí mật" đáng sợ- Ảnh 2.

Các bác sĩ đã lấy nó ra khỏi ruột và nhận thấy khu vực đó đã được đóng kín, giúp họ có thể bôi surgifoam (một loại bọt biển vô trùng dùng để cầm máu) vào vị trí lấy ra. May mắn, chiếc tăm xỉa răng không gây thêm tổn thương nào khác.

Khi biết "thủ phạm" gây đau là chiếc tăm xỉa răng, nam bệnh nhân "nhớ lại rằng mình đã ngủ với một chiếc tăm trong miệng" vào ngày trước khi các triệu chứng bắt đầu.

Người đàn ông 29 tuổi đau bụng dữ dội, bác sĩ sốc nặng khi phát hiện "bí mật" đáng sợ- Ảnh 3.Thiếu nữ 17 tuổi liên tục đau bụng, nôn ói, bác sĩ sốc nặng khi phát hiện "bí mật" đáng sợĐỌC NGAY

Bệnh nhân điều trị tại Ả Rập Xê Út đã được xuất viện sau 3 ngày phẫu thuật trong tình trạng ổn định.

Trong khi các bác sĩ ban đầu nghi ngờ xương gà là nguyên nhân, thì khi xem xét 136 trường hợp nuốt tăm, họ phát hiện đây là trường hợp cấp cứu y tế, với tỷ lệ tử vong gần 10%.

Minh Hoa (t/h)