Need To Know đưa tin, các nhân viên y tế đã vô cùng kinh ngạc sau khi phát hiện một búi tóc khổng lồ mắc kẹt trong dạ dày của một thiếu nữ 17 tuổi.
Trước đó, cô gái 17 tuổi đã phàn nàn về chứng đau bụng và bị nôn liên tục. Nữ bệnh nhân cũng không thể nuốt được bất cứ thứ gì.
Theo người thân, cô gái có tiền sử mắc hội chứng pica; một chứng rối loạn ăn uống khiến người bệnh thèm ăn và ăn những thứ không được coi là thức ăn.
Hậu quả là thiếu nữ này đã nuốt rất nhiều tóc trong nhiều năm; hay còn gọi là hội chứng Rapunzel.
Sau khi khám sức khỏe, người ta phát hiện bụng cô bé căng phồng, đau đớn vì có một khối tóc lớn và cứng.

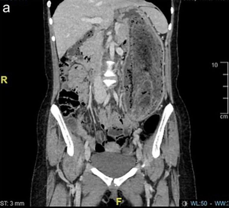
Trong khi tất cả các xét nghiệm trong phòng thí nghiệm đều bình thường, kết quả chụp CT xác nhận rằng búi tóc khổng lồ đã kéo dài từ dạ dày đến tá tràng.
Do kích thước của khối tóc, việc loại bỏ bằng phương pháp nội soi là không thể nên nữ bệnh nhân đã phải trải qua phẫu thuật mở dưới gây mê toàn thân.

Búi tóc lớn được lấy ra cẩn thận và vẫn còn nguyên vẹn. Và sau 3 giờ đồng hồ, dị vật đã được lấy ra an toàn.
Sau ca phẫu thuật, chứng nghiện ăn tóc không còn tái phát và cô gái 17 tuổi đã được giới thiệu đi đánh giá tâm thần và điều trị hành vi để ngăn ngừa vấn đề này xảy ra lần nữa.
Hội chứng Pica hay dân gian còn gọi là chứng ăn bậy. Nó đề cập đến khi một người thèm hoặc ăn những thứ phi thực phẩm hay nói cách khác là sự thèm ăn đối với các chất không chứa nhiều chất dinh dưỡng như các chất sinh học: ăn tóc phân hay chất tự nhiên như băng tuyết, đất hoặc các chất hóa học khác.
Hầu hết các hướng dẫn y tế trên thế giới đều phân loại Pica là một rối loạn ăn uống. Hiện tại không có cách nào để phân loại hành vi này. Tuy nhiên, các chuyên gia y tế cần kiểm tra một loạt các tình trạng khác nhau đồng mắc. Bao gồm cả sức khỏe tâm thần để cố gắng xác định nguyên nhân có thể xảy ra.
Pica thường phát triển ở những người có vấn đề về sức khỏe tâm thần, nhưng không phải tất cả những người mắc bệnh pica đều có vấn đề về sức khỏe tâm thần. Pica cũng phổ biến hơn ở trẻ em và phụ nữ mang thai. Ngoài ra, trẻ em bị Pica có thể che giấu hành vi bởi cha mẹ và người chăm sóc.
Những người mắc hội chứng Pica khi tiêu thụ các chất nguy hiểm có chứa kim loại hoặc vật liệu độc hại như chì, đất, sắt, chất độc trong chúng có thể gây rối loạn trí tuệ, tổn thương não và thậm chí tử vong.
Có thể gãy và tổn thương răng. Nó thường xảy ra khi trẻ nhặt ăn các vật cứng như sỏi hoặc đá, nhựa…
Các vấn đề về dinh dưỡng: Trẻ có thể bị suy dinh dưỡng do trẻ ăn rất ít thức ăn thật.
Tổn thương các cơ quan: Ăn thức ăn khó tiêu như nhựa hoặc kim loại có thể gây thương tích cho cổ họng, loét đường tiêu hóa.
Nhiễm trùng miệng, dạ dày hoặc ruột: Có thể xảy ra nếu các đồ vật không phải thực phẩm được tiêu thụ có chứa vi khuẩn hoặc ký sinh trùng.
Nghẹt thở do ăn đất đá to hay cát bay vào phổi.
Gặp các vấn đề về đường tiêu hóa như phân có máu, táo bón hoặc tiêu chảy.
Tắc ruột do thức ăn không được tiêu hóa, gây ứ đọng các thức ăn khác trong ruột.
Minh Hoa (t/h)